Dental Braces Oakville

Get Braces from $3,990 at our Oakville dental office.
Get a free consultation with our Oakville dentists to see if braces are right for you
At SmileVille Dentistry in Joshua Creek, Oakville, ON, we offer orthodontic braces to fix many dental alignment problems. Braces do more than just make your teeth look better; they also improve your overall oral health. When your teeth and jaws are properly aligned, you're less likely to get cavities or gum disease, and it can help prevent or relieve jaw pain.
Types of Braces We Offer
We know how important braces are for your oral health, so SmileVille Dentistry provides different types of braces to fit your needs and preferences. We offer:
- Traditional braces: These are the most common type.
- Invisible braces/aligners: These are a clear option for straightening teeth, often called "invisible teeth braces" or "teeth aligners."
We also have innovative alternatives if you're looking to straighten your teeth without braces, providing comfort and discretion throughout your treatment.
Your Braces Treatment Process
Getting straight teeth at SmileVille Dentistry involves a clear process:
- Assessment: We start with a detailed check of your teeth and mouth.
- Personalized Plan: We'll create a custom treatment plan, choosing the best type of braces or aligners for you.
- Regular Appointments: You'll have regular visits to adjust your braces and track your progress as your teeth gradually move into their correct positions.
Our team will guide you every step of the way, offering support and advice on living with braces or aligners, including what to eat and how to keep your teeth clean.
Braces for All Ages
Dental needs change with age, so SmileVille Dentistry offers specific brace solutions for children, teens, and adults.
- Children and Teens: Early treatment with braces can correct alignment issues as they develop.
- Adults: We offer discreet options like invisible braces or aligners, which have minimal impact on your work and personal life.
SmileVille Dentistry is dedicated to providing complete braces and orthodontic solutions that improve our patients' oral health. Our range of clear braces and aligner options, combined with a personalized approach, ensures each patient gets care designed just for them. We invite you and your family to discover how our orthodontic services can help you achieve better oral health and alignment.
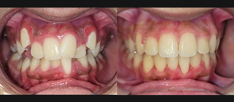
Metal braces 23 months


Metal braces 19 months


Metal braces 24 months


Bracket-Based Braces Options

Metal braces:
Metal braces use small metal brackets and wires to move your teeth into better positions. Theyβre strong, reliable, and work wellβeven for severe misalignment. Regular check-ups are important so your dentist can make adjustments and track your progress.
Clear braces:
Clear braces, also called ceramic braces, work like metal braces but use clear materials that blend in with your teeth. Theyβre a great choice if you want a less noticeable option. Clear braces are comfortable and can treat many alignment problems.


Self-ligating braces:
Self-ligating braces use a special clip instead of elastic bands to hold the wire in place. This means fewer appointments and shorter treatment times. Many people find them more comfortable and easier to clean than traditional braces.
Lingual braces:
Lingual braces are placed behind your teeth, so theyβre hidden from view. They work like regular braces but are a great choice if you want a discreet option. To find out if lingual braces are right for you, book a consultation with our orthodontist in Oakville.
